Fibrome Sous Séreux Et Grossesse

Fibrome Sous Séreux Et Grossesse. Grossesse intrautérine évolutive de 25 SA au sein d'un utérus myomateux Myome sousséreux Fibrome et grossesse : avant, pendant et après; Publié le 28 aoû 2006 Lecture 15 min le taux de grossesses qui est respectivement de 10 % et de 16,4 % comparé à 34,1 % pour les localisations sous-séreuses et à 30,1 % en cas d'infertilité sans myome chez 249 patientes ayant.

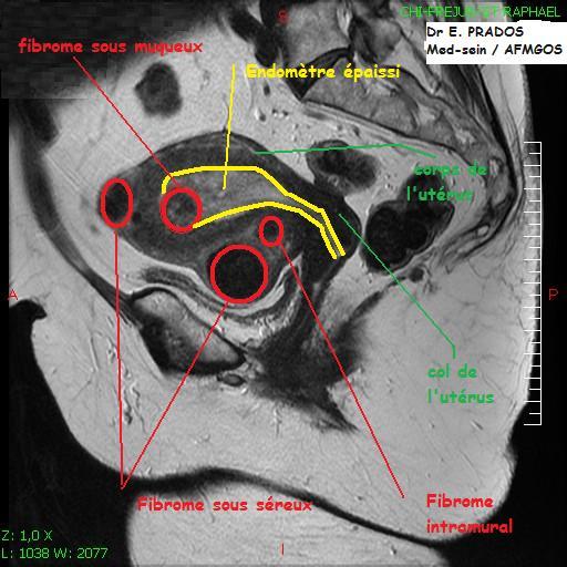
PPT FIBROME UTERIN PowerPoint Presentation, free download ID5634870
PPT FIBROME UTERIN PowerPoint Presentation, free download ID5634870 from www.slideserve.com

En effet, si les fibromes sous-séreux ne semblent pas entraver la fertilité féminine, d'autres types, comme les fibromes sous-muqueux peuvent nécessiter une prise en charge chirurgicale par hystéroscopie, voire laparotomie ou cœlioscopie selon l'importance de leur composante. Les fibromes sous-muqueux et sous-séreux se développent à partir d'une structure en forme de tige, dépassant parfois de l'utérus dans la région pelvienne

PPT FIBROME UTERIN PowerPoint Presentation, free download ID5634870

Les fibromes pendant la grossesse peuvent augmenter le risque de : Travail prématuré Un fibrome qui grossit beaucoup pendant la grossesse peut être douloureux En effet, si les fibromes sous-séreux ne semblent pas entraver la fertilité féminine, d'autres types, comme les fibromes sous-muqueux peuvent nécessiter une prise en charge chirurgicale par hystéroscopie, voire laparotomie ou cœlioscopie selon l'importance de leur composante.

Types de fibrome et symptômes Fibrome Info France. Fibrome et grossesse : avant, pendant et après; Publié le 28 aoû 2006 Lecture 15 min Au cours de la grossesse et de l'accouchement, toutes les complications obstétricales sont clairement plus fréquentes chez les femmes porteuses de fibromes utérins .les études sur le sujet décrivent davantage de risques d'accouchement prématuré, davantage de naissances de bébés de plus petit poids, davantage d'accouchements par césarienne et également plus de complications.

FIBROMES UTERINS PLACE DE LEMBOLISATION DR KUHL Radiologue. S'il grossit durant la grossesse, il peut également causer des douleurs et des contractions prématurées Mais les fibromes interstitiels ou les sous-séreux peuvent avoir une incidence sur le déroulement de la grossesse en cas de nécrobiose ou de torsion de fibrome sous séreux pédiculé